오돌토돌한 피부.. 비립종, 편평사마귀, 한관종, 쥐젖, 좁쌀여드름

깨끗하던 피부에 작은 돌기가 생기면 온 신경이 피부에 집중됩니다. 특히, 얼굴에 생기면 화장으로도 가려지지 않아 더욱 골치아프게 됩니다. 피부에 오돌토돌하게 돋아나는 것은 비립종, 사마귀, 쥐젖, 한관종이 대표적인데 이들은 언뜻 보기에 유사한 생김새를 가지고 있습니다. 하지만 원인과 세부 증상에서는 차이를 보이니 그 차이점을 알아 보겠습니다.

딸과 증상이 같다면 한관종(땀관종)
발생 부위, 모양이 비슷해 비립종과 혼동하기 쉬운 한관종은 땀샘관이 과도하게 증식해 나타나는 일종의 양성종양입니다. 대개 유전적 원인에 의해 발생하는 데다 여성에게 흔한 질환이어서 모녀, 자매가 같은 증상을 보이는 경우가 많습니다.
비립종이 살짝 노란색을 띠는 데 반해 한관종은 피부색과 똑같아 주위 피부와 이질감이 크게 느껴지지 않는데, 발병 위치는 비립종이 표피, 한관종이 진피로 서로 다릅니다.
탄산가스 레이저, 고주파 미세침 등으로 비대해진 땀샘관을 파괴하는 것이 치료법입니다. 피부 깊숙한 곳에서 진행되는 데다 주변 조직과 구분이 쉽지 않아 비립종 치료에 비해 난이도가 높습니다.
이 원장은 “특별한 통증, 가려움이 없어 치료 시기를 놓치기가 쉬운데 이를 방치할 경우 돌기가 서로 융합해 얼굴은 물론 가슴, 배, 성기 등 몸 전체로 퍼질 수 있다”고 조언합니다. 초기에는 1~2회 시술만으로도 큰 효과를 볼 수 있으니 발견 즉시 병원을 찾는 것이 좋고, 상태에 따라 회당 30~100만원의 비용이 발생합니다. 일반적인 시술 횟수는 3회 정도.

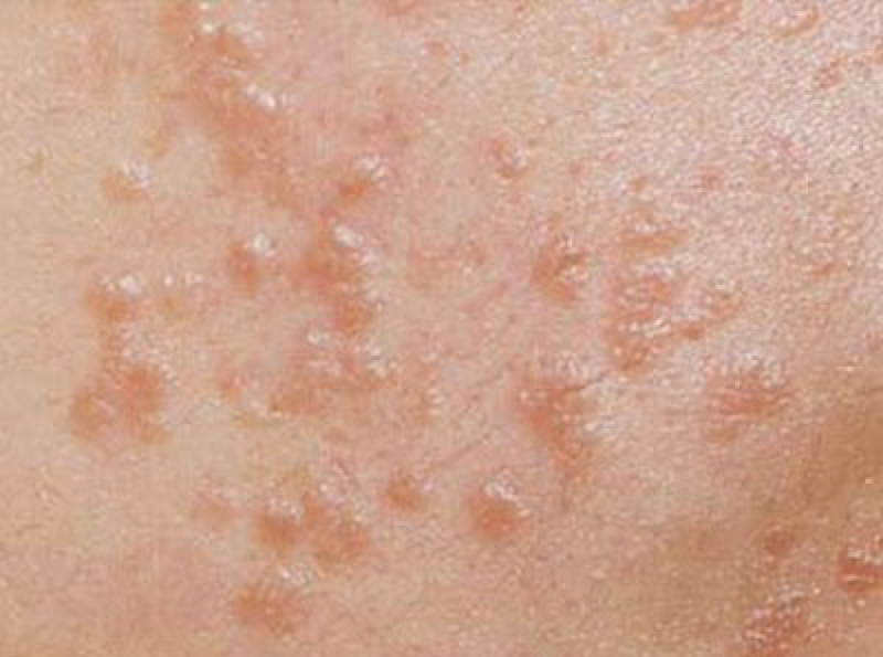
옅은 갈색 돌기 편평사마귀
인유두종 바이러스 감염으로 인해 피부 표피가 과다 증식해 발생하는 편평사마귀는 외관상 좁쌀 여드름과 유사하지만 여드름에 비해 모양과 크기가 불규칙적이고 짜냈을 때 알갱이가 없다는 것이 특징입니다.
여드름이 모공에 한정돼 나타나는 것과 달리 피부 어디든 나타날 수 있다는 점 역시 다릅니다.
통증, 가려움 등의 증상이 거의 없지만 그냥 두면 점차 번질 수 있어서 병원 진료를 받는 것이 좋습니다.
사마귀를 얼려 파괴하는 냉동치료를 비롯해, 태우거나 깎아 내는 레이저, 전기 소작술, 탄산가스 레이저 등으로 치료하는데 재발을 방지하기 위해서는 떨어진 면역력을 회복해야 합니다. 시술 비용은 개당 5천원~1만원 내외.

하얀색 피지가 쌓이면 좁쌀 여드름
돌기를 짰을 때 알갱이가 나오면 비립종, 피지와 각질이 섞여 나오면 좁쌀 여드름으로 구분하기도 하는데, 화농성 여드름과 달리 염증을 동반하지 않아 가려움이나 통증이 없는 것도 좁쌀 여드름의 특징으로 꼽힙니다.
꼼꼼한 세안과 충분한 수분 공급, 식이 조절 및 스트레스 관리 등 어느 정도 자가관리가 가능하지만 무리하게 손으로 짜거나 긁어낼 경우 화농성 여드름으로 발전할 수 있어 유의해야 합니다.
병원에서는 복용약과 연고, 스케일링, 필링, 레이저치료 등으로 좁쌀 여드름을 관리하고 있습니다. 상태에 따라 다르지만 최소 1~2주 간격으로 5회 정도 치료를 권장합니다. 총비용은 60~110만원 정도.

각질 정리가 우선 비립종
눈가, 뺨 등에 잘 생기는 비립종은 좁쌀 여드름과 흡사해 보이지만 모공에 피지가 차올라 생기는 여드름과 달리 각질이 쌓여 발생한다는 특징이 있습니다. 건강한 피부라면 자연적으로 각질이 떨어져 나오게 마련이지만 면역력이 저하되거나 수분, 영양 등이 부족한 상태에서는 피부 재생이 잘되지 않으므로 세포와 각질이 모공에 갇혀 솟아오릅니다.
간혹 손으로 돌기를 짜거나, 바늘로 터뜨려 자가 치료를 하는 경우가 있는데 흉터가 남거나 세균에 감염될 우려가 있어 피하는 것이 좋습니다. 피부과에서는 레이저나 면포 압출기로 모공 속 각질 알갱이를 제거한 뒤, 필요에 따라 모낭을 레이저로 태워 제거하는 방식으로 1회 정도 치료를 실시합니다.
상처는 약 일주일이면 아물고 병원에 따라 다르지만 개당 치료비가 1만원 선이다.

피부가 늘어져 달려있는 쥐젖
목, 몸통, 겨드랑이, 사타구니 등 몸에 줄기처럼 매달려 잇거나 같은게 발견되는 특징이 있습니다. 특히 주변 피부색보다 색이 진하고, 말랑말랑하면 꼬불꼬불한 섬유가 뭉쳐진 형태를 하고 있다면 쥐젖일 가능성이 높습니다.
임신, 폐경으로 인한 호르몬의 변화, 노화, 비만, 당뇨 등 대사 불균형으로 원인을 보기도 하며 남성보다는 여성에게 많이 발생합니다. 습관에 따라 제모한 겨드랑이, 사타구니, 와이존 등에 생기기도 합니다.
쥐젖은 전염성은 없으며 주위 피부로 번져나가지 않습니다. 대부분 무증상이며 미용상 이유로 치료하는게 대부분 입니다. 크기가 커지거나 생활에 불편이 있거나 통증이 유발되거나 한다면 전기건조술, 레이저 등의 치료를 하는게 나을 때도 있습니다.
오돌토돌한 피부 예방하는 방법
👁🗨 청결한 베개를 사용하기
👁🗨 유분이 과도한 화장품보다 적당한 화장품 사용하기
👁🗨 메이크업 잔여물이 남지 않도록 꼼꼼히 세안하기
👁🗨 기름진 음식과 인스턴트 음식 섭취를 줄이기
👁🗨 물을 자주 마시고 수분 크림을 충분히 바르기
👁🗨 과도한 스트레스를 피하기
👁🗨 야외활동 시 자외선 차단제를 바르기
피부에 한관종, 편평사마귀 쥐젖 비립종 등이 있어서 스트레스가 되거나 건드릴 때마다 아프거나 하신경우에는 피부과에 들어서 진단하고 예약해서 치료받는게 좋습니다. 웬만해서는 비싸지 않고 저렴하게 치료가 가능하니 너무 염려 마시기 바랍니다.
이 글이 도움이 되셨다면 공감 으로 응원과 격려 부탁드립니다.

#피부 #피부트러블 #오돌토돌한피부 #피부돌기 #스트레스 #얼굴좁쌀 #한관종 #편평사마귀 #쥐젖 #비립종 #좁쌀여드름 #자외선 #스트레스 #유분 #수분부족 #유전 #피부관리 #땀샘관 #피부돌기치료 #피부치료
'문화 여행 맛집 요리 헬스' 카테고리의 다른 글
| 가볼만한곳 22-23 대표 얼음낚시축제 (0) | 2023.01.10 |
|---|---|
| 가볼만한곳 강화 양오낚시터 빙어축제 (0) | 2023.01.10 |
| 가볼만한곳 2022 가평 자라섬씽씽겨울축제 (0) | 2023.01.08 |
| 가볼만한곳 2023 청평설빙송어빙어축제 (2) | 2023.01.06 |
| 가볼만한곳 2022 안성 두메호수 빙어축제 (0) | 2023.01.05 |
댓글